Juli 2020 – Cystisk eller solid?

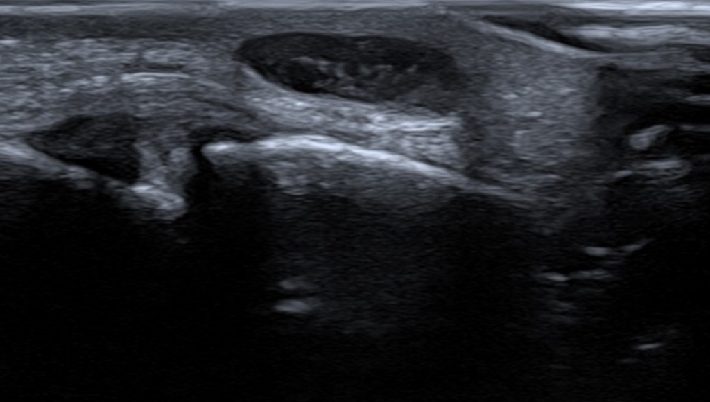
En pasient ble henvist til plastikkirurg i desember på grunn av en klump på den proksimale og dorsale del av venstre 3. finger. Røntgen var normalt. Ultralyd ble utført på […]
Juni 2020 – Bruk av Superb Microvascular Imaging (SMI) ved evaluering av lymfeknutevaskulatur i ung pasient med brystkreft

Ei 29 år gammal kvinne kjem til brystdiagnostisk poliklinikk med ein øm klump i høgre bryst og palpalble aksillære lymfeknuter. Ho var frå før frisk utan brystkreft i familien. Ultralyd […]
Young Investigator 2020 og GI-ultralydwebinar

MELD DEG PÅ! En påminnelse om at vi i morgen sender ett av høydepunktene fra det som skulle vært årets store begivenhet i Norsk ultralydmiljø, EUROSON 2020, som webinar. Norge […]
Bruk av ultralyd blant norske allmennleger

Myklestul et al publiserte i april i Scandinavian Journal of Primary Health Care en studie på data fra HELFOs takstregister der man analyserer utviklingen av bruk av ultralyd blant norske […]
April/mai 2020 – covid-19

I samarbeid med EFSUMB presenterer vi her månedens kasuistikk. Lungeultralyd er et spennende felt som har vært under utvikling spesielt i akuttmedisinske miljø siden 80-tallet, og her presenterer doktorene Soccorsa […]
Webinar som erstatning for Euroson 2020

Vi hadde planlagd et formidabelt program for Euroson 2020, med 7 parallell-sesjoner med svært bra faglig innhold av forskere og klinikere fra hele verden. Dette ble dessverre ikke mulig grunna […]
Tilbakebetaling av utgifter i forbindelse med Euroson 2020

Kjære NFUD-medlemmer. Vi skulle snart ha møttest i Bergen for faglig og sosialt påfyll med ultralydentusiaster fra hele verdene. Dessverre gjorde koronapandemien dette umulig. Euroson 2020 måtte kansellerest. Se nedenfor […]
Webinar: The role of ultrasound in Covid-19 patient management

EFSUMB arrangerer webinar med Konrad Stock fra Tyskland og Alessandro Zanforlin fra Italia om bruk av lungeultralyd i undersøkelse og behandling av Covid-19-pasienter. Webinaret er den 6. mai klokka 13 […]
Euroson 2020 – KANSELLERT

I lys av den nåværende usikkerheten rundt COVID-19 pandemien, har den lokale organisasjonskomitéen for Euroson 2020, som består av Norsk forening for Ultralyd og Diagnostikk (NFUD) og Nasjonal kompetansetjeneste i Gastroenterologisk Ultralyd (NSGU), tatt den svært vanskelige avgjørelsen om å avlyse den kommende Eurosonkongressen, som skulle funnet sted i Bergen den 11.-13. juni 2020.
NFUD og NSGU, sammen med medarrangør SonoScandinavia, har tatt beslutningen med et tungt hjerte, men vi har ikke sett en annen forsvarlig løsning gitt den pågående pandemien. Avgjørelsen er i tråd med retningslinjer fra Helsedirektoratet om å kansellere arrangementer med mer enn 500 deltakere, og å utvise særlig forsiktighet for arrangementer som involverer deltakere fra helsesektoren. Våre medlemmers sikkerhet og helse vil alltid være NFUDs første prioritet.
NY FRIST! Lever abstrakt innen 29. februar!

Euroson blir årets begivenhet innen diagnostisk ultralyd, og dette er i år NFUDs årsymposium! Vi vet mange av dere sitter på spennende kasuistikker eller forskning som kan la seg presentere […]